忍者ブログ

麗のえび

サンタビーとシャドーシュリンプの飼育ブログ ときどき熱帯魚、水草

[PR]

×

[PR]上記の広告は3ヶ月以上新規記事投稿のないブログに表示されています。新しい記事を書く事で広告が消えます。

痛そう!

 

こんばんは、「麗」です。


何時も、ありがとうございます。


申し訳有りませんが、また少し、忙しくなってしまいましたので、

少しの間、コメント欄は、閉じさせて頂きます。

ブログにえびちゃん、それと野球~!(笑

お仕事は、ほどほどに♡

頑張って行きますので、宜しくお願いします。


応援の「ポチッ!」宜しくお願いします。


にほんブログ村 観賞魚ブログ シュリンプ(エビ)へ
にほんブログ村
「ポチッ!」と宜しくお願いします。



*今回のブログには、肘のレントゲン写真が載っていますので、


 苦手な方は、スルーして下さい。




今日は、お仕事をお休みまして、


上の子供を、病院へ連れて行きました。


月に一度、肘のお医者さんに通っているのですが、


今日が、その日です。


肘が痛いという事で、


5月から通っているのですが、


あまり良くないですね。


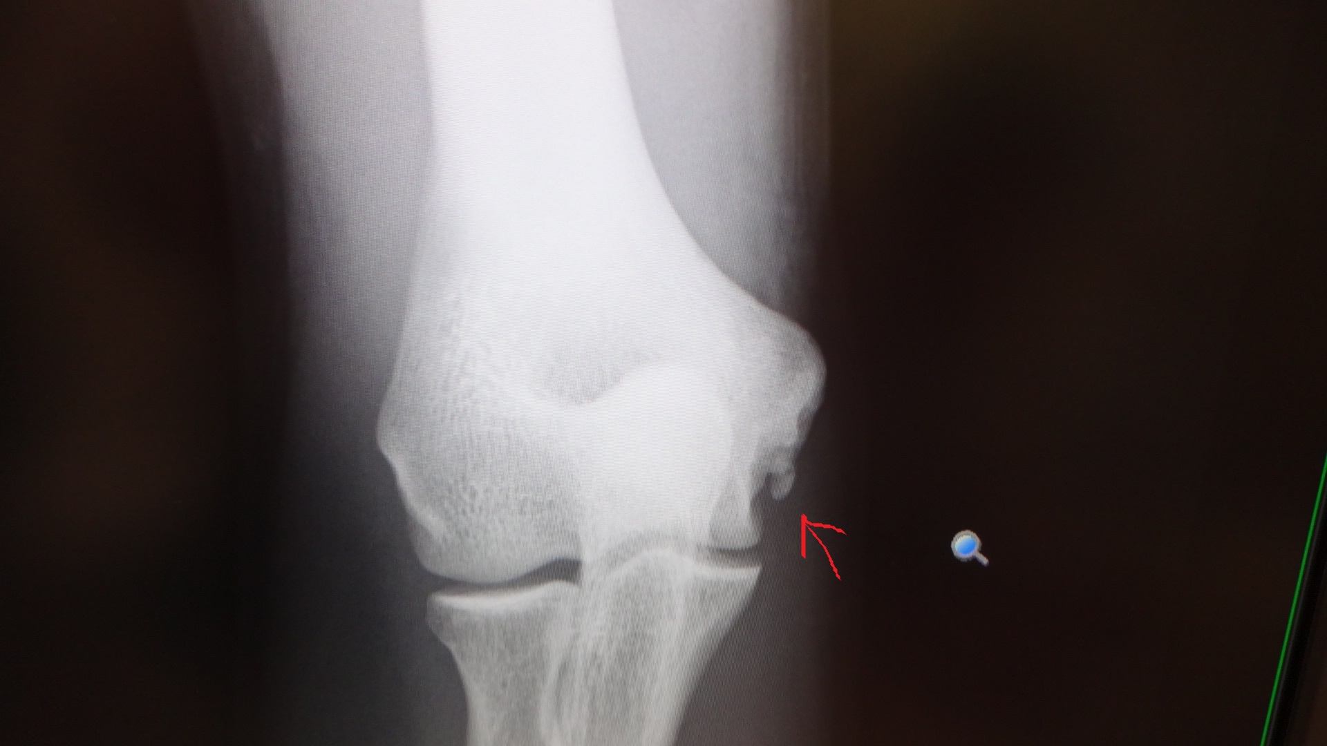
5月の時の肘のレントゲン写真は、

こちら。


矢印の所に、突起物が有ります。


靭帯が切れて、剥がれ掛かっているそうです。


この時は、約1ヶ月の休息期間を置きまして、


最後の大会に臨んだのですが、


やっぱり、無理をしていた様です。


今回の受診で、再度、レントゲンを撮ったのですが、


今回は、

この様になっていました。


突起物も、大きくなっていて、


かなり悪化しているとの事。


ピッチングは勿論の事、


バッティングも、行ってはいけないそうです。


最後の大会、頑張っていましたからね。


取り合えず、中学の間は、試合は有りませんので、


ノースロー・ノーバッティングで、走り込みを行って、


基礎体力向上を行います。


どんなに良い才能が有っても、


体力が無ければ、戦えないですからね。


良い機会ですので、お医者様のOKが出るまで、


体力作りに励んで貰いたいと思います。


お医者さんは、午前中で終わりましたので、


シニアが一段落付いたという事で、


古巣のリトルに、
 
挨拶に行って来ました。


他にも、3人、挨拶に来ていまして、


このまま、最後まで練習に参加するという事なので、


私は、子供を置いて、


下の子を迎えに行って、


ショップさんへ!(笑


欲しい物が有りましたので、


急遽、行って来ました。


行きましたショップさんは、


まずは、
 
寒川水族館さん。


そして、
 
かねだい海老名店さん。


そして、〆は、
 
東葛厚木店さん。


今回は、えびちゃんではないですよ~。(笑


買って来ました物は、次回、書きますね。


本当に、えびちゃんではないですよ~。(笑


最後に「ポチッ!」とお願いします。
にほんブログ村 観賞魚ブログ シュリンプ(エビ)へ
にほんブログ村


それでは。

拍手[0回]

PR

プロフィール

HN:
年齢:
55
HP:
性別:
男性
誕生日:
1970/03/06
職業:
趣味:
熱帯魚飼育

リンク

フリーエリア

忍者カウンター